Skip to main content
CELEBRATING 20 YEARS OF TRANSFORMATIVE STEM CELL RESEARCH
DIVE INTO THE DIGITAL REPORT
Secondary
For Members
For Patients & Families
Search
Support Us
Main navigation
Main navigation toggle
About
What is the BSCRC?
Milestones
About the Broads
Become a Member
Careers
Contact Us
People
Member Directory
Leadership Team
Trainees
BSCRC Staff
Research
Research Areas
Shared Resources
Funding We Offer
Clinical Trials
Oversight & Review
Training & Education
Training Programs
Understanding Stem Cell Research
Glossary
Classes & Clubs
News & Events
Newsroom
For Media
Events
Annual Symposium
Subscribe
Celebrating 20 Years
For Members
For Patients & Families
Search
Support Us
Enter your keywords
Support Us
Enter your keywords
Newsroom
Dec 14, 2017
Awards & Funding
Three UCLA scientists receive CIRM Discovery Grants to develop stem cell therapies for stroke, muscular dystrophy and HIV
Dec 12, 2017
Research
Research reveals how diabetes in pregnancy affects baby's heart
Gastrointestinal & Metabolic Diseases
Heart & Lung Diseases
Oct 19, 2017
Research
Better ‘mini brains’ could help scientists identify treatments for Zika-related brain damage
Infectious Diseases
Neurological Diseases, Disorders & Injuries
Sep 26, 2017
Features
Meet a BSCRC Scientist
Neurosurgeon-scientist takes helm of UCLA Neurosurgery
Cancer & Immunotherapy
Neurological Diseases, Disorders & Injuries
Sep 19, 2017
Research
Research redefines proteins’ role in the development of spinal sensory cells
Neurological Diseases, Disorders & Injuries
Sep 19, 2017
Features
Patient Stories
How first ‘vouchers’ in UCLA kidney donation program led to 25 lifesaving transplants
Blood & Immune Diseases
Stem Cell Biology
Sep 11, 2017
Clinical Trials
UCLA opens first engineered blood stem cell clinical trial for cancers with the NY-ESO-1 tumor marker
Blood & Immune Diseases
Cancer & Immunotherapy
Aug 14, 2017
Research
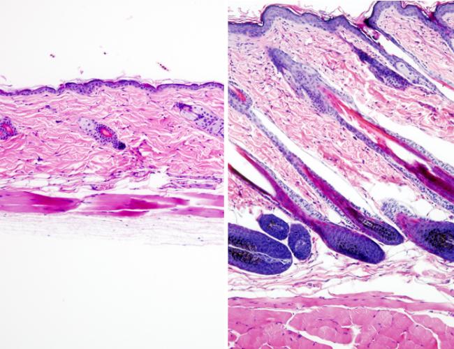
UCLA scientists identify a new way to activate stem cells to make hair grow
Stem Cell Biology
Aug 09, 2017
Awards & Funding
Education & Training
Stem cell center trainee receives grant to develop nanotechnologies to treat pediatric cancer
Bioengineering & Nanotechnology
Cancer & Immunotherapy
Jun 29, 2017
Awards & Funding
Two UCLA scientists receive CIRM Discovery Grants for stem cell research
First page
« First
Previous page
‹‹
…
Page
42
Page
43
Page
44
Page
45
Current page
46
Page
47
Page
48
Page
49
Page
50
…
Next page
››
Last page
Last »
Search News
Search by Researcher
Filter by Research Area
- Any -
Aging & Healthspan
Bioengineering & Nanotechnology
Blood & Immune Diseases
Bone & Muscle Diseases & Injuries
Cancer & Immunotherapy
Cell & Gene Therapy
Eye Diseases
Gastrointestinal & Metabolic Diseases
Genetics & Genomics
Heart & Lung Diseases
Infectious Diseases
Neurological Diseases, Disorders & Injuries
Reproduction & Infertility
Stem Cell Biology
Filter by Article Type
- Any -
Awards & Funding
BSCRC Voices
Center News
Clinical Trials
Education & Training
Events
Features
Meet a BSCRC Scientist
Patient Stories
Philanthropy
Research
News & Events
Newsroom
Media Coverage
For Media
Events
Annual Symposium
Subscribe
Celebrating 20 Years
News & Events
Newsroom
Media Coverage
For Media
Events
Annual Symposium
Subscribe
Celebrating 20 Years