CELEBRATING 20 YEARS OF TRANSFORMATIVE STEM CELL RESEARCH
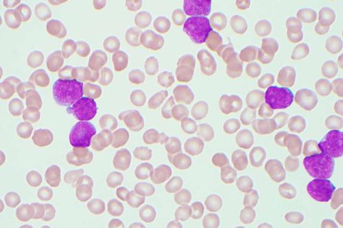
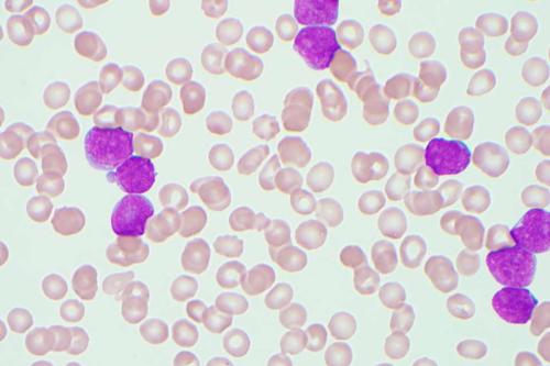
Microscopic blood smear showing normal red blood cells and several large purple-stained lymphoblasts characteristic of B-lymphoblastic leukemia
B-lymphoblastic leukemia, a type of blood cancer. Courtesy of the Rao Laboratory.

UCLA team discovers how to target ‘undruggable’ protein that fuels aggressive leukemia

Study shows that a small molecule can disrupt IGF2BP3 function, slowing leukemia growth and triggering cancer cell death

Researchers at the UCLA Health Jonsson Comprehensive Cancer Center have identified a small molecule that can inhibit a cancer-driving protein long considered impossible to target with drugs — a discovery that could open the door to a new class of treatments for leukemia and other hard-to-treat cancers. 

The compound, called I3IN-002, disrupts the ability of a protein known as IGF2BP3 to bind and stabilize cancer-promoting RNAs, a mechanism that fuels aggressive forms of acute leukemia. The study, published in the journal Haematologica, found the molecule not only slowed leukemic cell growth but also triggered cancer cell death and reduced the population of leukemia-initiating cells that sustain the disease.

“This project has been more than a decade in the making,” said Dr. Dinesh Rao, professor of pathology and laboratory medicine at the David Geffen School of Medicine at UCLA and senior author of the study. “We discovered IGF2BP3 years ago as an important driver in acute leukemias, and for a long time there were no tools to target it. To finally show that we can inhibit this protein and disrupt its function in cancer cells is incredibly exciting.” 

IGF2BP3 belongs to a family of RNA-binding proteins that are normally active only at the earliest stages of human development. After birth, their activity largely shuts down, but in some cancers, including leukemia, brain tumors, sarcomas, and breast cancers, IGF2BP3 switches back on. But for decades, researchers have been unable to develop a drug to disable it because IGF2BP3 lacks the typical “pockets” or enzymatic features that most drugs latch onto, which has made it notoriously difficult to target.

“RNA-binding proteins are not traditional cancer targets,” said Rao, who is also a member of the UCLA Health Jonsson Comprehensive Cancer Center and the UCLA Eli and Edythe Broad Center of Regenerative Medicine and Stem Cell Research. “But by understanding IGF2BP3’s function and its job is to bind RNA that encodes cancer-promoting genes, we realized we could design an assay to disrupt that specific interaction.”

To find a potential inhibitor, the team used a high-throughput screening system that tested approximately 200,000 compounds from the UCLA Molecular Screening Shared Resource led by Dr. Robert Damoiseaux to find candidates that could block IGF2BP3 from binding to its RNA targets, the core function that enables the protein to drive cancer growth.  

After early hit compounds were identified, Rao turned to UCLA chemistry professor Dr. Neil Garg, whose group helped analyze the compounds’ structure, and recognized a pattern that seemed to be preserved. From that search, the second compound identified, I3IN-002, emerged as a lead compound, showing potent activity at low micromolar concentrations and producing effects that closely mirrored what happens when the IGF2BP3 gene is deleted entirely. Garg’s lab then created a method to synthesize it in-house, an essential step for advancing it through additional testing.

Once I3IN-002 was synthesized, the researchers put the molecule through a series of rigorous tests to determine whether it truly acted on IGF2BP3, the cancer-driving protein they aimed to target. 

They found that in leukemia cells that rely on IGF2BP3 for growth slowed dramatically when exposed to the molecule, while cells lacking the protein showed only a minimal response, a strong indication that the compound is acting on its intended target. In the treated IGF2BP3-positive cells, the molecule triggered apoptosis, or programmed cell death, and interfered with the protein’s ability to bind RNA, a critical step in its tumor-promoting activity. It also reduced the expression of several cancer-promoting genes normally stabilized by IGF2BP3, further underscoring its potential as a highly specific therapeutic candidate.

These effects were far weaker in cells where IGF2BP3 had been genetically deleted, offering strong evidence that the molecule is working exactly where intended. Additional gene expression, RNA binding, thermal shift and drug-stability assays confirmed that I3IN-002 physically binds to IGF2BP3 and alters its function, one of the clearest demonstrations to date that this long-considered “undruggable” class of RNA-binding proteins can, in fact, be targeted with small molecules.

In preliminary mouse studies, the compound showed biological activity with modest but measurable anti-leukemia effects. Though the in-vivo impact was smaller than hoped, Rao emphasizes that this is expected for a first-generation molecule.

“What matters most is that we proved we can hit the protein and disrupt its biology,” he said. “It’s a step forward not just for leukemia research, but for the entire field of RNA-binding proteins in cancer.”

The team is now working to create next-generation analogs of I3IN-002 that are more potent, more stable and more suitable for testing in animals and eventually humans. 

“From assay development to drug screening, hit validation, and downstream characterization, his work signifies a key milestone in our laboratory’s research,” said Dr. Amit Jaiswal, an assistant project scientist in the Rao Laboratory and first author of the study. 

Other UCLA authors are Georgia Scherer, Michelle Thaxton, Jacob Sorrentino, Constance Yuen, Milauni Mehta, Gunjan Sharma, Tasha Lin, Tiffany Tran, Amanda Cohen, Robert Damoiseaux and Neil Garg.

Notes

The work was supported in part by grants from the California Institute of Regenerative Medicine, the National Institutes of Health, the UCLA Health Jonsson Comprehensive Cancer Center, the Gary & Barbara Luboff Mitzvah Fund and the UCLA Innovation Fund Award, which helps advance promising discoveries toward commercialization.

Cancer & Immunotherapy